0521-035122      info@facekids.it

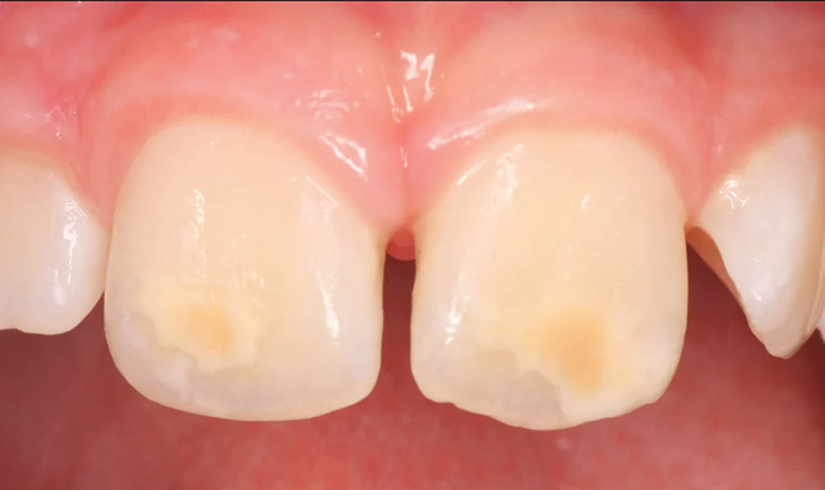
Quelle strane macchiette sui dentini... cosa fare?

Si chiama amelogenesi imperfetta dello smalto, un difetto genetico che si presenta sulla superficie dei denti dei bambini. Come si cura? Parola alla dott.Beccuti del centro Facekids di Parma.

Molto frequentemente le mamme si preoccupano notando, sulla superficie dei denti dei loro bambini, irregolarità più o meno evidenti e/o macchie scure o chiare, dovute ad un fenomeno definito amelogenesi imperfetta dello smalto. La dottoressa Beccuti del Centro Facekids ci spiega di cosa si tratta e come si cura.

Cos’è l’amelogenesi imperfetta?
«È un difetto dello smalto geneticamente determinato che può manifestarsi in maniera diversa clinicamente, istologicamente, geneticamente e per numero di elementi coinvolti. Può presentare mancanze sia qualitative sia quantitative dal punto di vista della mineralizzazione e maturazione dello smalto.»

Qual è la causa?
«In genere la causa principale può essere ricondotta ad una mutazione nel gene dell’amelogenina. Per il suo carattere genetico, è una patologia che colpisce anche i pazienti in tenera età.»

Come si cura l’amelogenesi imperfetta?
«In base alla gravità della patologia è possibile intervenire con azioni di tipo preventivo o restaurativo. Il trattamento dell’AI nei piccoli pazienti prevede, accanto a tecniche restaurative più indaginose, anche metodiche poco invasive, che permettano il reintervento in età adulta.»

Una visita dall’odontoiatra pediatrico serve in questi casi sia a tranquillizzare la mamma, poiché spesso si tratta di patologie non gravi, sia a monitorare l’evoluzione del fenomeno associando igiene, fluorizzazione, e protezione delle superfici interessate fino alla ricostruzione in materiale composito, faccette o corone.
Nell’amelogenesi imperfetta si distinguono:

  • TIPO IPOPLASTICO: aspetto puntiforme, liscio o rugoso, con smalto molto sottile
  • TIPO IPOCALCIFICATO: smalto facilmente perforabile con le sonde
  • TIPO IPOMATURATIVO: pigmentato o bianco con smalto morbido e friabile

Vi aspettiamo al centro Facekids per fornirvi informazioni ed assistenza.

Author

FaceKids

Face Kids
Face Kids

FACE KIDS
0521 035122
Via R. Bormioli 5/A
43122 Parma (IT)
P.IVA 01307060051

Follow Us

© Face Kids. All rights reserved. Powered by The BB's Way