0521-035122 info@facekids.it
Prenota una visita
Tutte le informazioni di cui hai bisogno per l'igiene orale dei bambini.
Che cos’è la suzione?
Il riflesso della suzione è naturale nel neonato.
Già a partire dalla fine del primo trimestre di gestazione (11-12 settimane) il feto mostra movimenti di suzione e deglutizione.
Un numero sempre maggiore di genitori è sensibilizzato all’argomento igiene orale dei propri piccoli e richiede informazioni e linee guida di riferimento in proposito. In questo articolo vorrei dare qualche consiglio utile e semplice.
La comparsa dei primi dentini nei neonati è un processo che varia da bambino a bambino. Generalmente, i primi denti spuntano intorno ai 5-6 mesi, mentre il completamento della dentizione può avvenire attorno ai 20 mesi o, in alcuni casi, protrarsi fino ai 2 anni e mezzo, con l’eruzione dei secondi molari.
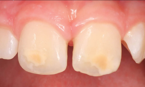
Una frequente abitudine che può causare la cosiddetta carie da biberon. Ne parliamo con la dr.ssa Beccuti.
L’importanza dell’indagine radiologica per la rilevazione delle lesioni cariose in odontoiatria pediatrica.
Consigli per mantenere una corretta igiene orale anche durante l’estate. A colloquio con la dott. Beccuti del centro FACEKIDS di Parma.
Si chiama amelogenesi imperfetta dello smalto, un difetto genetico che si presenta sulla superficie dei denti dei bambini. Come si cura? Parola alla dott.Beccuti del centro Facekids di Parma.
Si può andare dal dentista? E in che modo?Ecco le indicazioni della dottoressa Beccuti, che ci spiega come si interviene in totale sicurezza in caso di urgenze.
Prevenire è meglio che curare, oltre che più economico. L'Accademia Americana di Odontoiatria Pediatrica consiglia la prima visita intorno al primo anno di età, con controlli successivi ogni 6/12 mesi. Nei bambini così piccoli i sintomi della comparsa dei primi dentini sono salivazione abbondante, arrossamento e rigonfiamento delle gengive, inappetenza e bisogno di mordere.